Stock No: 032541
Protocol 35264: Standard PCR Assay - Cd4<em#Litt> Alternate1
Version 1.0

Notes

The genotyping protocol(s) presented here have been optimized for reagents and conditions used by The Jackson Laboratory (JAX). To genotype animals, JAX recommends researchers validate the assay independently upon receipt of animals into their facility. Reaction cycling temperature and times may require additional optimization based on the specific genotyping reagents used.

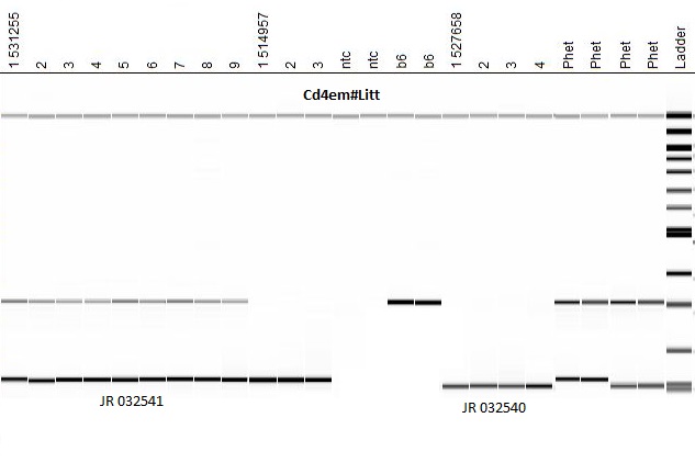
Expected Results

Wt = 321bp

Mut Em1 = 118bp

Mut Em2 = 148bp

JAX Protocol

Protocol Primers

Primer 5' Label Sequence 5' → 3' 3' Label Primer Type Reaction Note
28615 GTT TCC TGC TGT CCC TAC CC Common A
45644 GAA ACC TGA AGC ACC AAT GC Wild type Forward A
45645 CTC TGC AGC CAA TTC CTC TC Mutant Forward A

Reaction A

Component Final Concentration
ddH2O
Kapa 2G HS buffer 1.30 X
MgCl2 2.60 mM
dNTP KAPA 0.26 mM
28615 0.50 uM
45644 0.50 uM
45645 0.50 uM
Glycerol 6.50 %
Dye 1.00 X
Kapa 2G HS taq polym 0.03 U/ul
DNA

Cycling

Step Temp °C Time Note
1 94.0 --
2 94.0 --
3 65.0 -- -0.5 C per cycle decrease
4 68.0 --
5 -- repeat steps 2-4 for 10 cycles (Touchdown)
6 94.0 --
7 60.0 --
8 72.0 --
9 -- repeat steps 6-8 for 28 cycles
10 72.0 --
11 10.0 -- hold
JAX uses a very high speed Taq (~1000 bp/sec), use cycling times recommended for your reagents.
JAX uses a 'touchdown' cycling protocol and therefore has not calculated the optimal annealing temperature for each set of primers.

Strains Using This Protocol

Stock Number Strain Name
032540 C57BL/6-Cd4em1Litt/J
032541 STOCK Cd4em2Litt/J
2 strains use this protocol