A pilot project to explore the use of spontaneous tumors from aged, genetically diverse mice in cancer research. Contact [email protected] to discuss potential collaboration.
A pilot project to explore the use of spontaneous tumors from aged, genetically diverse mice in cancer research. Contact [email protected] to discuss potential collaboration.
While cancer affects individuals across the lifespan, 60% of new cancer diagnoses and 70% of cancer deaths occur in people 65 years of age and older. Despite this, cancer is rarely studied in aged animal models, limiting our understanding of impacts of aging on disease initiation, progression, and response to therapy. Further, the widespread use of genetically homogenous mice often fails to reflect important variations associated with disease risk that impact gene expression differently based on the context and cell type in humans (Anczukow et al, Cancer Cell 2023).
Figure 1. Summary of GAINS inventory through January 1, 2026

GAINS (Genetic and Aging Influences on Neoplastic Susceptibility) was developed by The Korstanje Lab, The JAX Cancer Center (JAXCC), and JAX Center for Aging Research (JCAR) to bridge existing gaps in our understanding of aging and disease. Led by Dr. Ron Korstanje, JAX Professor and Evnin Family Chair, this partnership between the JAXCC and JCAR allows us to harness resources from each program to explore the use of spontaneous tumors from genetically diverse, naturally aging mice in cancer research. Learn more about Dr. Korstanje's research here.
Mice from two different genetically diverse populations (Diversity Outbred (DO) mice and UM-HET3 mice) reaching 24 months of age are undergoing full necropsy and collection of tumors. These tumors are paraffin embedded, H&E stained, scanned, and assessed by pathologists. Data are stored in a sample tracking system that allows us to communicate key information about the tissue samples and distribute them to JAXCC collaborators for further characterization.
Through May 2026, GAINS has yielded more than 2,500 tissue abnormalities from 1,189 24-month-old mice. Tissue samples from approximately 400 additional animals are scheduled to be added to the inventory in 2026. By strain, a majority of mice in the inventory (66%) are UM-HET3, and an additional 34% are DO mice. Nearly two in three mice in the inventory (63%) are female.
Table 1. Number and Type of GAINS Resources Produced
Approximate Number Produced (through May 2026) | Resource Type |
|---|---|
| 2,579 | |
1,011 | Scanned H&E slides from lung, liver, and lacrimal gland tissue |
| 701 | Genotyped animals |
| 648 | Animals with Wright-Giemsa stained blood smears |
| 440 | Animals with fecal samples |
One interesting, early observation is that while we see predominantly liver tumors (in 46% of DO and 49% of UM-HET3, males and females combined) and lung tumors (in 37% of DO and 41% of UM-HET3, males and females combined) at 24 months of age, the most frequent tumors in female UM-HET3 mice are in the reproductive system (Figure 2).
Figure 2. Frequency of tumors in GAINS mice, by strain and sex

Figure 3. GAINS Tumor Site Correlations
In collaboration with JAX Professor Dr. Jeff Chuang, we received funding to characterize the collected lung and liver tumors, and this work is currently ongoing. We are taking lung tumors that occur naturally in older mice and imaging them by staining the proteins and RNA inside the cells. These stains can help inform us about what cells are present in these older mouse lungs, and more broadly the structures and general organization of the lung tissue (Figure 4). With this information we hope to provide insights into why these tumors occur with age, how the mouse immune defenses try to combat these tumors, and the ways in which “old age” tumors might be similar to those found in humans.
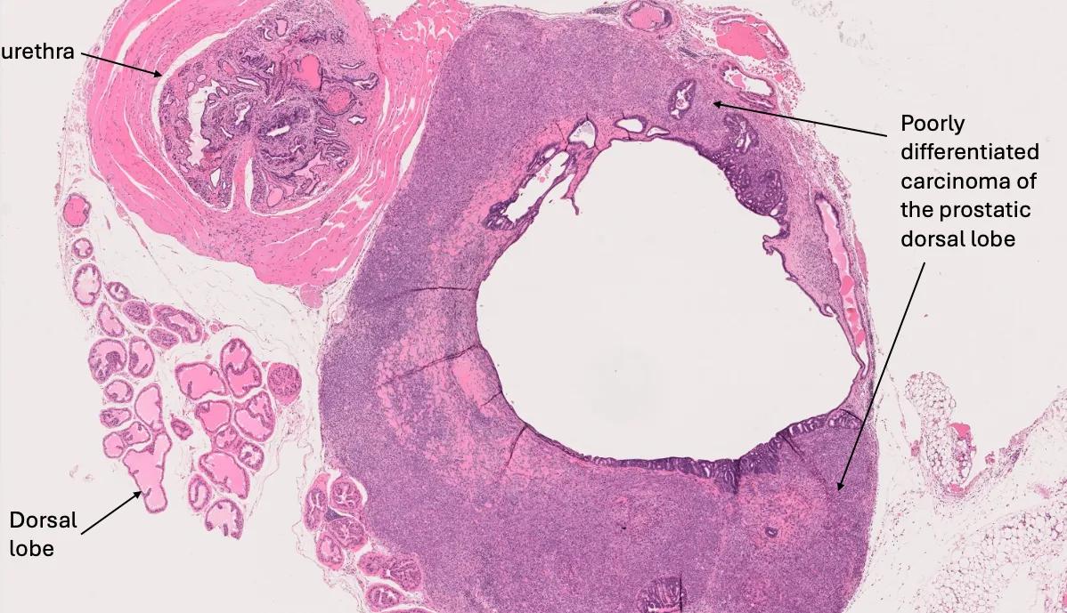
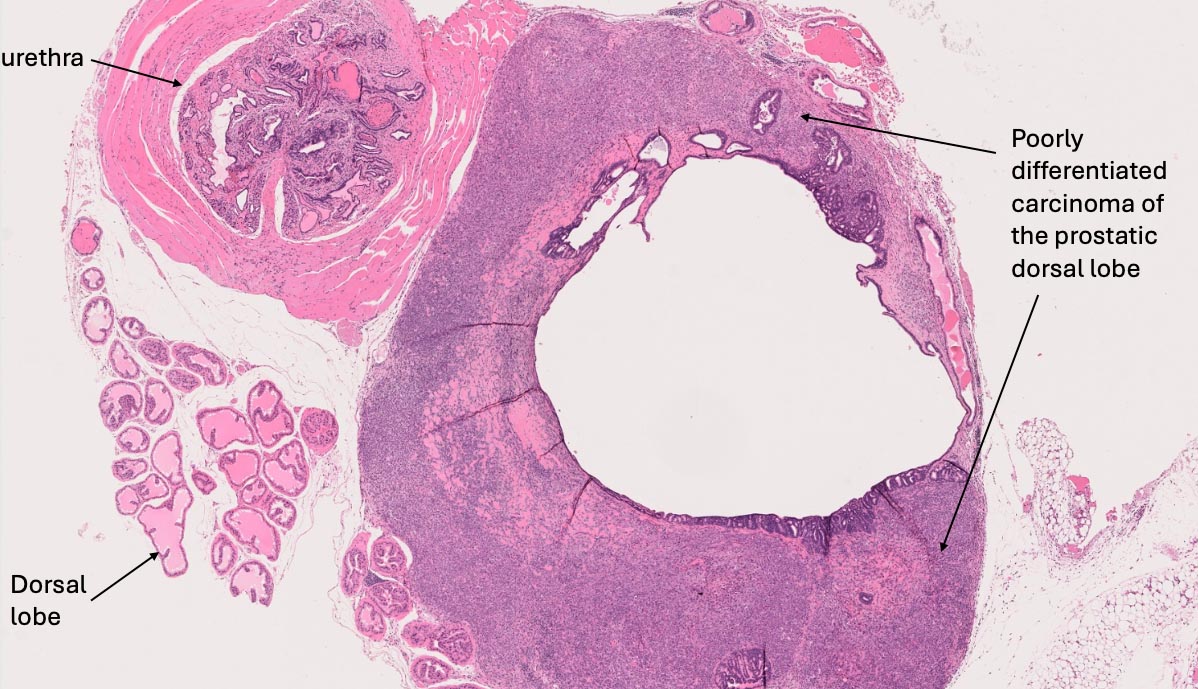
We have also explored the degree to which tumors found in male UM-HET3 mouse reproductive systems involve the prostate. Out of 95 such mice for which we have reproductive tissue samples, we identified only two animals (2.1%) with prostate tumors. One of these animals, found to have a poorly differentiated carcinoma in the prostate (Figure 5), also had tumors in four other locations. The other, diagnosed with a very early, very small carcinoma, had no other tumors.
In addition to solid tumors, we collected blood smears to look for blood abnormalities after Wright-Giemsa staining in collaboration with JAX Professor Dr. Jennifer Trowbridge. All slides have been digitally scanned and will be made available on our OMERO server.
As the tumors are collected from genetically diverse mice, we have the possibility to perform genetic studies and get estimates on heritability and the number of genetic loci involved. Depending on the number of loci and their effect size, we may be able to identify causal genes. We are currently using the DNA from the male UM-HET3 samples for purePlex genotyping.
GAINS’ strategy, employing aged, genetically diverse mice that more closely resemble human conditions, allows us to pinpoint significant transition points during aging. Through GAINS, we are seeking to optimize tissue collection and characterization workflow, to share information on identified abnormalities, and establish collaborations to advance the use of this platform in aging and cancer research.
Contact [email protected] to discuss potential collaboration.

How developing novel mouse cancer models will address major gaps in knowledge and experimental approaches
The mission of the JAX Cancer Center is to discover precise genomic solutions for cancer by making basic discoveries with human impact.
View moreThe JAX Center for Aging Research's long-term goal is to build a better understanding of the molecular mechanisms at work in lifespan and health span. We focus our diverse expertise in biology and genomics on the problems and disorders…
View more