Evaluate mouse models for cancer research with the Mouse Tumor Biology Database
JAX Notes | February 18, 2008The Mouse Tumor Biology Database is a component of the Mouse Genome Informatics resource. The Mouse Tumor Biology Database provides free access to data about spontaneous and induced tumors from genetically defined mice (inbred, hybrid, mutant and genetically engineered strains).
The data include standardized tumor names and classifications, pathology reports and images, mouse genetics, genomic changes occurring in the tumor, tumor frequency and latency and literature citations. TheMouse Tumor Biology Database facilitates the selection of experimental mouse models for cancer research, the evaluation of mouse models of human cancer, the review of mutation patterns in specific cancers and the identification of genes commonly mutated across a spectrum of cancers.
As examples, you can use the Mouse Tumor Biology Database to find the following:
- reports of spontaneous tumors that metastasize to the liver
- mice with pheochromocytomas of the adrenal gland
- pathology images for tumors arising in the lung alveolae
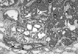
The Mouse Tumor Biology Database encourages researchers to submit their own pathology images such as the one below showing mammary adenocarcinoma in a JAX® Mice model of mammary cancer.

Solid and tubular mammary adenocarcinoma. Relatively normal mammary gland ducts containing pink proteinaceous material (arrows) approach cells forming tubular structures of various sizes lined by darkly basophilic, small cuboidal cells. Near the top of this image, these cells fill the tubular structures (arrowheads) forming solid areas. Mitotic figures (circles) are common in the more cellular areas (tumor is from strain FVB/N-Tg(WapNotch4)10Rnc/J).
The Mouse Tumor Biology Database supports the use of the mouse as a model system of hereditary cancer by providing electronic access to:
- Information on endogenous spontaneous and induced tumors in mice, including tumor frequency & latency data.
- Information on genetically defined mice (inbred, hybrid, mutant, and genetically engineered strains of mice) in which tumors arise.
- Information on genetic factors associated with tumor susceptibility in mice and somatic genetic-mutations observed in the tumors.
- Tumor pathology reports and images.
- References supporting MTB data.
- Links to other online resources for cancer.
